همه آگهی های خدمات آزمایشگاه حیوانات خانگی

اشتراک خدمت...
اشتراک در ایتا اشتراک در بله اشتراک در اینستاگرام اشتراک در تلگرام اشتراک در واتس آپ اشتراک در توییتر اشتراک در لینکدین اشتراک در فیسبوک اشتراک توسط پست الکترونیک

انواع تست آنتی بیوگرام

توافقی

چت با خدمت دهنده
چت با خدمت دهنده
اطلاعات تکمیلی
محل انجام خدمت
کرمانشاه کرمانشاه
محدوده خدمات
شهرهای مجاور
خدمات مشاوره تلفنی
این خدمات فعال می باشد
تعداد بازدید
1881 بازدید
توضیحات خدمت دهنده
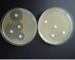
آنتی بیوگرام یا آزمایش‌ حساسیت دارویی که امروزه به دلیل مصرف بی‌رویه و غیراصولی آنتی‌ بیوتیک ها و درنتیجه ایجاد مقاومت‌های دارویی بسیار خطرناک در بدن جانداران بسیار مورد توجه قرار گرفته، نشان می‌دهد که کدام یک از آنتی‌بیوتیک‌ها بر روی عفونت پیش آمده مؤثرتر است تا بهترین آنتی بیوتیک برای درمان بیماری مورد استفاده قرار گیرد. نشان داده شده که موارد بسیاری از درمان‌های ناموفق آنتی بیوتیکی که منجر به پیشروی بیماری و وخیم‌تر شدن وضعیت بیماری گردیده، به علت مقاومت دارویی جاندار به آنتی بیوتیک تجویز شده رخ داده است. انجام آنتی بیوگرام در شرایط موجود راه حلی مؤثر برای تشخیص بهترین تجویز آنتی بیوتیکی می‌باشد.

انواع کارشناسی

کلیه امور کارشناسی خدماتات و خدمات نیاز به عضویت شما دارد. لطفا با کلیک روی این بخش در سایت ثبت نام کنید یا وارد سایت شوید

ورود به حساب کاربری
هشدار های قبل معامله
غرفه آزمایشگاه تخصصی دامپزشکی پاسارگاد
مشاهده غرفه

نوع غرفه : شخصی

فعال از : 1401/11/19

مدیریت : دکتر فروغ محمدی

شماره های تماس : 08338363231-09306066918

کرمانشاه، خیابان صفا، طبقه فوقانی کلینیک دکتر خسروآبادی


تعداد خدمات : 7 خدمات

تصویر شماره 1 خدمت
تصویر شماره 2 خدمت

انواع کارشناسی

کلیه امور کارشناسی خدماتات و خدمات نیاز به عضویت شما دارد. لطفا با کلیک روی این بخش در سایت ثبت نام کنید یا وارد سایت شوید

ورود به حساب کاربری
هشدار های قبل معامله

انواع تست آنتی بیوگرام

توافقی
مشاهده

آزمایش کشت و آنتی بیوگرام طیور

112,000
مشاهده

انواع تست آنتی بیوگرام

توافقی
مشاهده

آزمایش اندازه گیری فاکتور های بیوشیمیایی کامل خون( cbt)

توافقی
مشاهده

انواع تست آنتی بیوگرام

توافقی
مشاهده

آزمایشگاه بیمارستان دامپزشکی کوردستان

توافقی
مشاهده
-
نظرات کاربران
شما هم می‌توانید در مورد این خدمت نظر دهید.

درصورت تمایل می توانید دیدگاه خود را در خصوص این خدمت با کلیک بر روی کلید 'ثبت دیدگاه' وارد نمایید

درخواست کارشناسی
اطلاعات تماس با خدمت دهنده
خدمت دهنده
غرفه
دکتر فروغ محمدی
شماره های تماس
08338363231 09306066918
نشانی خدمت دهنده
کرمانشاه، خیابان صفا، طبقه فوقانی کلینیک دکتر خسروآبادی
شروع فعالیت خدمت دهنده
1401/11/19
اطلاعات تماس با خدمت دهنده
خدمت دهنده
غرفه
دکتر فروغ محمدی
شماره های تماس
08338363231 09306066918
نشانی خدمت دهنده
کرمانشاه، خیابان صفا، طبقه فوقانی کلینیک دکتر خسروآبادی
شروع فعالیت خدمت دهنده
1401/11/19